StressMarq独家代理商欣博盛生物:β淀粉样蛋白1-42寡聚体-自主发布-资讯-生物在线

StressMarq独家代理商欣博盛生物:β淀粉样蛋白1-42寡聚体

作者:欣博盛生物科技有限公司 暂无发布时间 (访问量:1404)

StressMarq - β淀粉样蛋白1-42寡聚体

 

β淀粉样蛋白(Amyloid Beta Protein,Aβ)是阿尔茨海默病患者大脑中淀粉样斑块的主要成分。

 

在大脑中,β淀粉样肽(amyloid beta peptide)由淀粉样前体蛋白(amyloid precursor protein, APP)经蛋白酶切割产生,其可聚集形成寡聚体、原纤维、纤维,并最终形成斑块,这一过程与神经退行性疾病密切相关。Aβ斑块在脑内的积聚被认为是阿尔茨海默病(AD)的典型特征,过去20年中大多数针对AD的药物研发均以抑制Aβ积聚为目标。从AD患者脑组织中分离出的可溶性Aβ寡聚体或体外制备的Aβ寡聚体均被证实能强烈损害突触的结构与功能。体外制备的Aβ寡聚体对PC12细胞和SH-SY5Y细胞具有毒性。研究还表明,Aβ与tau蛋白病相互作用,影响AD患者的神经退行性进程;此外,Aβ的积聚与帕金森病痴呆患者的较低生存率相关。

image.png 

β淀粉样蛋白聚集机制(DOI: 10.3109/03602532.2014.882354)

 

StressMarq的β淀粉样蛋白1-42寡聚体((Aβ42 Oligomers)由经1,1,1,3,3,3-六氟异丙醇(HFIP)预处理的Aβ1-42肽段制备而成。该寡聚体在透射电子显微镜(TEM)和原子力显微镜(AFM)下呈现为球状寡聚体,在使用抗Aβ抗体的Western Blot检测中显示出特有的二聚体/三聚体及寡聚体条带。此外,StressMarq的Aβ42寡聚体已被证实对原代大鼠皮层神经元具有剂量依赖性的细胞毒性。详情可见下文产品图片展示。

 

产品信息:

名称

Human Synthetic Amyloid Beta 1-42 Oligomers

货号

SPR-488

应用

WB, In vivo Assay, In vitro Assay

浓度

1 mg/ml

偶联物

No tag

种属

Human

氨基酸序列

DAEFRHDSGYEVHHQKLVFFAEDVGSNKGAIIGLMVGGVVIA

纯度

>95%

蛋白长度

42个氨基酸

蛋白大小

4.5 KDa

 

产品图片:

1、β淀粉样1-42单体(SPR-485,左)、寡聚体(SPR-488,中)和原纤维(SPR-487,右)的透射电子显微镜图像。使用磷钨酸和醋酸铀染色在80Kv下在碳涂层400 mesh copper grids上获得的负染色透射电子显微镜图像。比例尺=100 nm。

image.png 

 

2、β淀粉样1-42单体(SPR-485,左)、寡聚体(SPR-488,中)和原纤维(SPR-487,右)的原子力显微镜图像。下图为2.5 x 2.5 µm x-y,z范围为10 nm。

image.png 

 

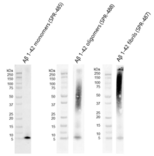
3、使用Aβ抗体6E10对β淀粉样1-42单体(SPR-485,左)、寡聚体(SPR-488,中)和原纤维(SPR-487,右)进行Western印迹。在TEM/AFM下观察到的寡聚体(SPR-488)的Western印迹上显示出明显的约37-75 kDa 的二聚体/三聚体条带。

image.png 

 

4、β淀粉样蛋白1-42寡聚体(SPR-488)和原纤维(SPR-487)对原代大鼠皮质神经元具有剂量依赖性毒性,而单体(SPR-485)没有毒性。大鼠原代皮层神经元用不同浓度的 (A) 单体、(B) 寡聚体和 (C) 原纤维处理14天后的存活率,由MAP2阳性神经元量化并表示为对照的百分比(空白对照设为100%)。§代表未经处理的对照条件。 

image.png 

 

5、人iPSC衍生的小胶质细胞摄取Phrodo标记的β淀粉样蛋白1-42寡聚体(SPR-488)。来自reMYND (Leuven, 比利时) 使用 Ex560 Em585 进行活细胞成像。

image.png 

StressMarq生产的Aβ1-42寡聚体已被广泛应用于多项研究中,以加深对阿尔茨海默病病理机制的理解。这些寡聚体在评估抗体相互作用、研究CAR巨噬细胞对淀粉样斑块的吞噬与降解能力,以及分析人源类小胶质细胞对纤维状Aβ的摄取等方面发挥了关键作用。此外,它们还被用于双抗体夹心ELISA实验,以评估高分子量tau蛋白亚型的特异性,从而揭示tau蛋白与Aβ之间的相互作用。这些寡聚体在不同研究中的持续应用,凸显了其在阐明淀粉样蛋白积聚机制及各类细胞成分在阿尔茨海默病中作用方面的重要价值。

 

相关产品:

产品名称

货号

适用种属

应用

淀粉样蛋白寡聚体 (A11) 抗体

SPC-506         

Eukaryote,Human,Mouse,Rat         

WB,IHC,ICC/IF, IP, ELISA

淀粉样原纤维 (OC) 抗体

SPC-507

Human

WB,IHC,ICC/IF,IP,ELISA,DB          

β淀粉样蛋白1-42 寡聚体抗体          

SMC-618

Human

WB, ELISA

β淀粉样蛋白1-42 寡聚体抗体

SMC-619

Human

WB, ELISA

β淀粉样蛋白1-42 寡聚体抗体

SMC-620

Human

WB, ELISA

 

 

 

1754268930208.webp

更多详情请咨询StressMarq中国总代理商-欣博盛生物

全国服务热线: 4006-800-892       邮箱: market@neobioscience.com   

深圳: 0755-26755892       北京: 010-88594029         

上海: 021-34613729         广州: 020-87615159          

代理品牌网站: www.nbs-bio.com   

欣博盛品牌网站: www.neobioscience.net

欣博盛生物科技有限公司 商家主页

地 址: 深圳福田区梅华路105号多丽工业区科技楼605

联系人: Miss Yao

电 话: 0755-26755892(深圳) 010-88594029(北京) 021-34613729(上海) 020-87615159 (广州)

传 真: 0755-26755877

Email:market@neobioscience.com

相关咨询
ADVERTISEMENT